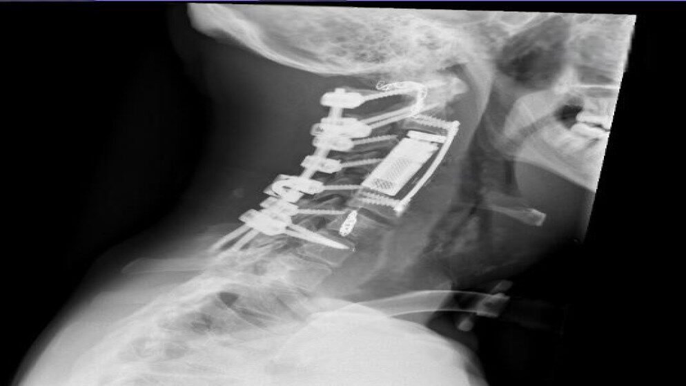
العموم نيوز: تمكّن فريق جراحي في مركز الحسين للسرطان، بقيادة رئيس قسم جراحة العمود الفقري الدكتور محمد خليل البربراوي، من إجراء عملية جراحية معقدة ونادرة لاستئصال ورم خبيث من نوع Cervical Sarcoma بحجم 10.7 سم، كان متمركزًا أمام الفقرات العنقية الثالثة والرابعة والخامسة، ممتدًا إلى الثقبة الفقرية ومؤثراً على الشريان الفقري.
المريض، وهو شاب يبلغ من العمر 31 عامًا، كان يعاني من صعوبات شديدة في التنفس والبلع، ما استدعى إجراء فتحة تنفسية وتركيب أنبوب تغذية مباشر إلى المعدة قبل العملية.
وفي بيان صدر اليوم الاثنين، قال المدير العام للمركز الدكتور عاصم منصور إن “هذا النجاح الجراحي المتقدم يعكس المستوى العالمي الذي وصل إليه المركز في علاج الأورام المعقدة، ويجسد التزامه بتقديم رعاية شاملة قائمة على التخصص والدقة”، مشيدًا بكفاءة الفريق الطبي والتقنيات المستخدمة.
من جانبه، أوضح الدكتور البربراوي أن العملية سبقتها مرحلة تحضيرية دقيقة شملت إغلاق أحد الشريانين الفقريين بوسائل تداخلية إشعاعية، بدأت باختبار إغلاق الشريان باستخدام بالون، تلاه إغلاق دائم باستخدام ملفات حلزونية، بهدف تقليل المخاطر خلال الجراحة.
وشملت المرحلة الجراحية تثبيت العمود الفقري من الفقرة العنقية الأولى إلى السابعة، وتحرير النخاع الشوكي، ثم استئصال الورم والفقرات المصابة بالكامل من الجهة الأمامية للعنق بطريقة “الاستئصال الكامل في كتلة واحدة”. تم بعدها تعويض الفقرات المستأصلة بقفص فقري تمددي، وتثبيت أمامي لضمان استقرار العمود الفقري.
وأكد البربراوي أن هذه العملية تُعد الأولى من نوعها في الأردن والمنطقة، ونادراً ما تُجرى إلا في المراكز الطبية المتقدمة على مستوى العالم، نظرًا لتعقيد موقع الورم وتشريحه الحساس.
وأشار إلى أن هذا الإنجاز يجسد أهمية العمل الجماعي ضمن فريق طبي متعدد التخصصات، ويعكس التقدم الكبير الذي أحرزه الأردن في مجال جراحات العمود الفقري والأورام المعقدة.
وبعد مرور شهرين على الجراحة، تمكن المريض من استعادة قدرته على التنفس وتناول الطعام بشكل طبيعي، ويتمتع الآن بحالة صحية مستقرة.

